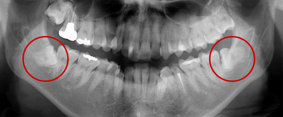
親知らずについて

親知らずとは、大臼歯(大人の奥歯)の中で一番後ろに位置する第3大臼歯
智歯とも呼ばれ、20歳前後で生えてくることが多く、個人差があります。
歯ぐきに埋まったまま生えないことや生まれつき親知らずが存在しない場合もあります。
親知らずによる痛みの原因
親知らずが横や斜めに生えてきたり、歯ぐきがかぶっていることがあります。そのため、親知らずの周囲には細菌が残りやすく、以下のようなトラブルを起こし、痛みの原因になります。
- 隣の歯がむし歯になる
- 親知らずの周りの歯ぐきが腫れる(智歯周囲炎)
- 生えてきた親知らずが、頬や歯ぐきの粘膜を傷つけ口内炎をつくる
- 親知らずが咬み合わせに影響を与え、顎関節症になる
- 歯が押されて歯並びが変わってしまう

親知らずの保存・抜歯について
親知らず(第3大臼歯)の一つ手前の歯(第2大臼歯)は、咬み合わせに重要な歯です。
親知らずが周囲に悪影響をもたらしている場合は、早めの抜歯をお勧めしています。
- 第2大臼歯が親知らずのために、むし歯や歯周病が進行している場合や、将来的にそのリスクが高い場合
- 第2大臼歯の歯の根に、親知らずが当たっている
- 親知らず自体がむし歯になっている
- 親知らずの周辺が歯周病のために、よく腫れてしまう

親知らずの抜歯は当クリニックにお任せください
親知らずは、まれに隣の歯を圧迫するような生え方で成長することがあります。
また、親知らずがむし歯になるケースも多いため、抜歯の必要があると判断した場合には、抜歯しております。親知らずの状態は事前にしっかりと診断を行い、診断結果と治療方法は丁寧にご説明します。
抜歯が必要なケースでは、ご納得いただけるまで処置内容についてお話しし、抜歯の際は痛くならないように細心の注意を払います。抜歯のリスクがある患者さまの場合は対応が可能な病院をご紹介します。
歯科口腔外科について
お口の中やその周辺の外科処置を行なっています
お口のトラブルに気付いたら、まずはご相談ください。
口腔外科では、歯や舌・あご・お口の中のでき物やケガなどに関して外科的な診断・治療を行います。
親知らずの抜歯以外にも、外傷の治療や顎関節症の診断・治療などに対応します。
お口の中のでき物やケガなど、気になる症状はありませんか。
また、緊急処置は優先的に対応しますので、まずはお電話にてお問い合わせください。
- 口内炎
- 強い腫れや痛み
- うみがたまる
- 唇や粘膜の切り傷
- 歯の破折・損失
※症例によっては提携先病院への紹介をいたします。

嚢胞(のうほう)摘出
身体の中につくられた液状内容物を含む袋状のものを嚢胞(のうほう)と呼び、歯の根っこの先端部分に出きた嚢胞のことを「歯根嚢胞」といいます。症状がないことも多く、知らない間に大きくなり、違和感や痛み・腫れが出たり、副鼻腔炎など、身体に大きな影響を与えることがある病気です。
歯根嚢胞について
これは細菌感染やその他の刺激が加わったことによって、歯の中にある神経や血管(歯髄)が壊死した歯や、過去に歯髄を除去した歯(根管治療を受けた無髄歯)に起こります。歯髄が走行している部分を根管と呼びますが、根管内に何らかの理由で感染が起こると、毒素や細菌が根の先からあごの骨に出されうみの袋ができます。これが嚢胞です。症状がなく進行することも多いのですが、歯ぐきからうみが出たり、大きく腫れて痛みとして出ることもあります。さらに嚢胞が大きくなると、根の周りの骨が歯根嚢胞によって大きく溶かされることもある病気です。

歯根嚢胞の治療方法
適切な治療方法は診断によって異なりますので、ご相談ください。
感染根管治療
細菌によって汚染された歯の根の中を消毒し、薬で密閉する方法です。
細菌に侵された根が残ってしまうと、再び細菌が増え歯根嚢胞が治らずに再発を繰り返すことがあります。
歯根端切除術
感染根管治療ができない根の形状や、感染根管治療で治らなかった場合は麻酔をして、歯ぐきの方から切開し歯根嚢胞を取り出します。
根の先から薬をつめて細菌感染を防ぎます。嚢胞を取り出した後の骨は自然に回復します。
抜歯
歯根嚢胞のできた歯の場所によっては一度抜歯をしてから取り除く方法や、部分抜歯などの「嚢胞摘出術」を行います。

顎関節症治療について
学校歯科健診にも取り入れられている顎関節症は、むし歯・歯周病に次ぐ第3の歯科疾患ともいわれています。
あごが痛む、口が開かないなどの症状が現れるため、硬い食べ物が噛めない、大きな食べ物が食べにくい、あごが疲れるなどの影響が出ます。
顎関節症の治療方法
顎関節症の治療では歯を削ったり、手術をしない「保存的療法」を基本治療として行います。患者さまの日常生活が少しでも快適になるように、一緒に原因を考え、アドバイスや治療方法をご提案します。
- 薬物療法(筋弛緩薬や鎮痛剤などの投与)
- 理学療法(筋訓練やマッサージなど)
- 行動療法(歯ぎしりや噛みしめ、あるいは姿勢の改善などの生活指導)
- スプリント療法(マウスピースのような口内装置の装着)

歯科口腔外科の費用について
ルートカバー(歯根露出補正手術)
| 相談・検査・診断・治療までの標準料金 | 治療期間目安 | 治療回数目安 |
|---|---|---|
| 55,000円 ~ 132,000円(税込) | 1日 | 1回 |
副作用とリスク
- ごく稀にカバーしきれない場合もあります。その場合は再オペの料金はいただきません。
- 結合組織移植に腫れや痛みが出る場合があります。
結合組織移植
| 相談・検査・診断・治療までの標準料金 | 治療期間目安 | 治療回数目安 |
|---|---|---|
| 88,000円 ~ 165,000円(税込) ※1本:88,000円(税込) ※複数:165,000円(税込) | 1日 | 1回 |
副作用とリスク
- ドナ-(寄付する)側に感染により潰瘍ができることがあります。1週間程度で治まります。
- レシピエント(寄付される、移植床)側に生着しない場合があります。再オペの料金はいただきません。
歯冠長延長術(1本)
| 相談・検査・診断・治療までの標準料金 | 治療期間目安 | 治療回数目安 |
|---|---|---|
| 55,000円(税込) | 1日 | 1回 |
副作用とリスク
- 腫れや痛み、しみる場合があります。
診療のご予約はこちら
口腔内のお悩みや、お口のことで気になることがあれば、
JR熊谷駅(北口)徒歩1分の歯医者さん「熊谷デンタルクリニック」にご相談ください。
